Diersoort: rund
Leeftijd: 8 jaar
Anamnese: sinds een aantal dagen melkproductie dalend, geeft nu nauwelijks melk meer. Spasme in slokdarm te zien. Slokdarm trekt ongecontroleerd samen, is wel passabel. Pens is actief. Met buscopan® behandeld, dit heeft geen effect gehad. Het dier is geëuthanaseerd.
Sectie: dilatatie van de slokdarm, verder geen macroscopische afwijkingen.
Vervolgonderzoeken:
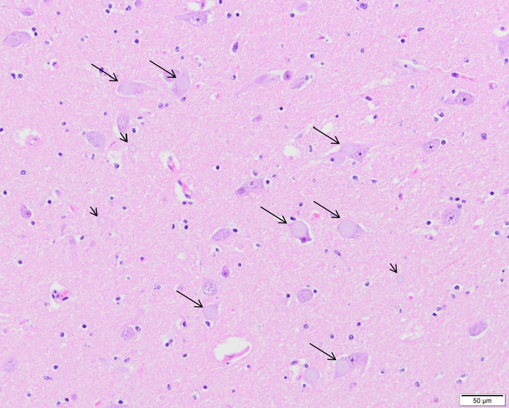
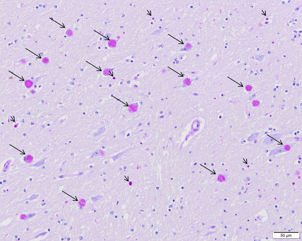
Histopathologisch onderzoek hersenen: in de hersenstam zijn verspreid ronde inclusies aanwezig, bleekgrijs, begrensd, zowel in perikarya met verplaatsing van de kern, als extracellulair in de neuropil. De inclusies zijn PAS- en PAS-diastase positief, morfologisch passend bij polyglucosan inclusies. Deze inclusies worden ook wel Lafora bodies genoemd. Hoewel enkele Lafora bodies normaal kunnen zijn bij oudere dieren, zijn grote aantallen zoals in dit geval (zie foto 1-3) passend bij Lafora disease. Tevens toename van het aantal microglia cellen. Slokdarm: verspreid enkele rondcellige ontstekingshaardjes ter plaatse van de nerveuze plexi van het autonome zenuwstelsel in de submucosa en inwendige gladde spierlaag van de slokdarm, soms gecombineerd met degeneratie/necrose van neuronen.
Zware metalen en spoorelementen onderzoek lever: geen afwijkingen.
Diagnose laesies hersenen: beeld morfologisch passend bij Lafora disease. Deze stapelingsziekte is beschreven bij de mens en bij de hond, in beagles, Basset hounds en miniatuur ruwharige teckels. In miniatuur ruwharige teckels is een oorzakelijke DNA mutatie aangetoond. Bij de mens wordt de ziekte veroorzaakt door mutaties in de genen voor laforin (fosfatase) en malin (ubiquitin ligase). Deze genen coderen voor eiwitten die effect hebben op het glycogeenmetabolisme. Mutaties in deze genen resulteren in myoclonische epileptische aanvallen.

Foto 1. Hersenstam, histopathologie (HE kleuring, 20 x); ronde inclusies aanwezig, bleekgrijs, begrensd, zowel in perikarya (lange pijlen) met verplaatsing van de kern in de neurone. Deze inclusies zijn ook extracellulair aanwezig in de neuropil (korte pijlen).

Foto 2. Hersenstam, histopathologie (PAS-diastase kleuring, 40 x) ; de inclusies kleuren sterk magentakleurig-positief aan en vertonen een radiaire uitstraling en een gelaagd aspect.

Foto 3. Hersenstam, PAS-diastase kleuring, 20 x