- Home
- Diergezondheid
- Dierziekten
- Salmonella
Salmonella
Veel diersoorten, waaronder kippen, varkens, runderen en knaagdieren kunnen de bacterie Salmonella enteritica bij zich dragen zonder symptomen te vertonen. Ook reptielen en schildpadden blijken vaak diverse subsoorten van Salmonella enteritica bij zich te dragen en uit te scheiden via de ontlasting. Mensen kunnen een infectie oplopen door direct contact met de dieren of door contact met de verblijfplaats. Ook kan het hanteren van besmet voedsel zoals bijvoorbeeld muizen voor reptielen en rauw vlees voeding een infectiebron vormen.
Mensen met een salmonella-infectie hebben vaak last van diarree, buikkrampen en misselijkheid. Vooral jonge kinderen en mensen met een verzwakt immuunsysteem hebben meer risico om ziek te worden.
Dierziekte informatie Salmonella
Salmonella Dublin bij de kat
Bacteriën van het geslacht Salmonella komen wereldwijd voor. Binnen dit geslacht wordt onderscheid gemaakt tussen twee salmonellaspecies, namelijk S. enterica en S. bongori. Binnen S. enterica is sprake van vijf subspecies, waarvan S. enterica subsp enterica de belangrijkste is. Binnen deze subspecies zijn duizenden serotypes te onderscheiden met bekende of onbekende namen als S. Typhimurium, S. Thompson of zelfs S. Utrecht. Uit onderzoek is gebleken dat katten veelvuldig drager kunnen zijn van salmonella. Het bleek dat salmonella vooral veel gekweekt kon worden uit zieke dieren. Hierbij hoefde de ziekte niet veroorzaakt te zijn door salmonella zelf. Waarschijnlijk leidt ziekte tot een verminderde afweer, waardoor dragerdieren kunnen gaan uitscheiden.
Dit kunnen verschillende serotypes zijn. Dergelijke serotypes kunnen ook multiresistent zijn, wat behandeling met antibiotica bemoeilijkt. S. Dublin wordt in Europa bij de kat af en toe aangetoond. Aangezien S. Dublin een typische runderkiem is, is het waarschijnlijk dat katten direct of indirect vanuit rundvee geïnfecteerd raken. Katten raken veelal oraal geïnfecteerd door het eten van besmet rauw voedsel of dieren die ze zelf gevangen hebben. De infectieroute kan ook contact met rundermest zijn geweest, vooral als de dieren op een runderbedrijf zijn opgegroeid. Infectie met salmonella kan symptoomloos verlopen, maar kan ook leiden tot een enteritis of een systemische infectie. Het kan ook sepsis veroorzaken, waarbij diverse organen worden aangedaan, zoals longen, nieren en lever, met zeer ernstige ziekte of de dood tot gevolg. Gezien het zoönotische aspect en het innige contact dat de eigenaar met zijn huisdier heeft, is het belangrijk om de eigenaar op de risico’s te wijzen en goede hygiëne te handhaven.
Casus Imke (kat)
Imke is als kitten gevonden in een naburig dorp. Haar geschatte leeftijd was toen 8 weken. Ze vertoonde geen ziekteverschijnselen maar was wel iets rustig. Nadat zij twee dagen in de opvang heeft gezeten, is zij gevaccineerd voor katten- en niesziekte en naar een gastgezin gegaan.
Klinische verschijnselen
Het gastgezin merkte op dat Imke redelijk passief was en wat pijnlijk bij het optillen. De ontlasting was iets zacht, maar geen reden tot ongerustheid. Ze is behandeld tegen lintwormen met Vitaminthe®. Imke at goed en was ook fel op het eten. Na twee weken werd zij acuut ziek (niet eten, ondertemperatuur) en is zij binnen 24 uur overleden. Gezien het feit dat er in de opvang een kitten aanwezig was met kattenziekte, is samen met de dierenarts besloten om het kitten voor sectie aan te bieden.
Bevindingen sectie
Macroscopische kenmerken
Het kitten had een matige conditie, er zijn geen afwijkingen genoteerd in mondholte, trachea, oesophagus en hart. De topkwabben vertoonden hyperaemie, de maag was leeg en er waren geen afwijkingen aan het darmpakket noch aan de inhoud van de darmen. De gewrichten vertoonden ook geen afwijkingen.
Microscopische kenmerken
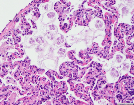
De opvallendste bevindingen bij de histologie zijn in de longen aanwezig. Zowel in enkele bronchioli als in meerdere foci in een aantal alveoli zijn aansnijdingen van eieren en larven van parasieten aanwezig (foto 1 en 2). Rondom deze gebiedjes is een catarrhale tot soms necrotiserende ontsteking aanwezig en lokaal zijn er ook bacteriën te zien.

Foto 1: Larven en eieren van parasieten in de alveoli van de long

In de lever zijn enkele necrosehaardjes aanwezig en een uitgebreide toename van neutrofiele granulocyten in de sinussen (passend bij een reactielever). In de nier zijn meerdere necrosehaardjes aanwezig en zijn veel bacteriën in de bloedvaatjes in de glomeruli zichtbaar (foto 3).

Foto 3: Bacteriekolonies en ontstekingshaarden in de nier
De hersenen en de darmen vertonen geen afwijkingen. Van de lever, milt en longen wordt een bacteriologisch onderzoek ingezet. Hieruit blijkt dat er sprake is van groei van veel Salmonella dublin.
Conclusie
Het kitten heeft eieren en larven in de longen ten gevolge van een infectie met Aelurostrongylus abstrusus (longworm van de kat). Daarnaast heeft zij een sepsis ten gevolge van Salmonella dublin.
Casus afkomstig van Dierenkliniek De Posten te Drachten
Met dank aan Stichting Dierenopvang 't Heerveld te Luinjeberd