- Home
- Producten-en-diensten
- Pathologie
- Pathologie casussen
- Casussen-kleine-herkauwers
- Geit-met-paratuberculose
Geit met paratuberculose
Diersoort
Geit
Leeftijd
2 jaar
Anamnese
Klachten van vermageren en diarree.
Bevindingen tijdens sectie
De geit had een slechte conditie en een ruwe vacht. Bij inwendige inspectie was er in de rechter borstholte een chronische pleuritis aanwezig. In de buikholte was vrij vocht aanwezig (ascites). De pens was gevuld met normale ruwvezel, de darminhoud was zowel in de dunne darm als in de dikke darm abnormaal waterig. De darmwand was verdikt en de mesenteriale lymfeknopen waren sterk gezwollen.

Figure 1 Sectiebevindingen met glazige verdikte darmwand (pijl) en sterk gezwollen mesenteriale lymfeknopen (L).
Vervolgonderzoek
Bij aanvullend histologisch onderzoek van de dunne darm en de mesenteriale lymfeknoop werd een granulomateuze ontsteking aangetoond. Dit beeld is sterk verdacht van paratuberculose. Met behulp van een aanvullende Ziehl Neelsen (ZN) kleuring werden zuurvaste bacteriën (Mycobacteriën) aangetoond in het ontstekingsinfiltraat in de darmwand en lymfeknoop.

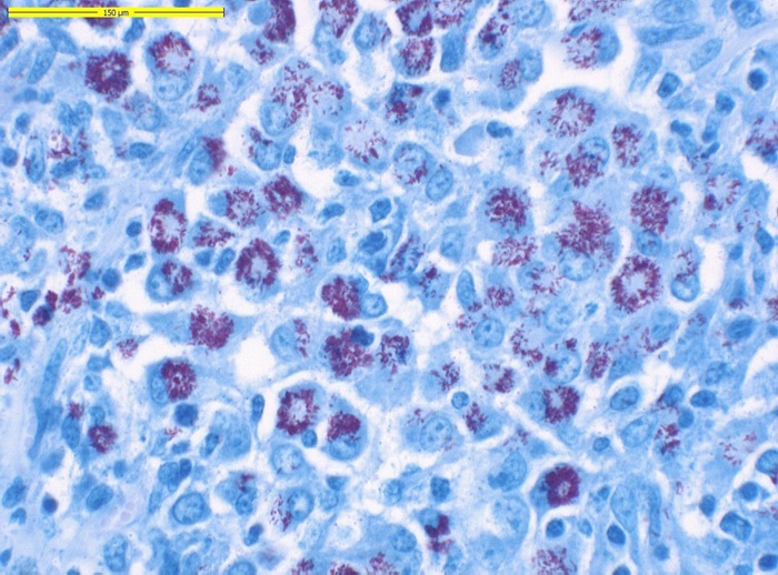
Figure 2 Microscopisch beeld van het granulomateuze ontstekingsinfiltraat in de lymfeknoop, waarbij de macrofagen rood aankleurende zuurvaste mycobacteriën bevatten (Ziehl Neelsen kleuring).
Diagnose
Granulomateuze enteritis en lymfadenitis met intrahistiocytaire zuurvaste bacteriën, beeld passend bij paratuberculose veroorzaakt door Mycobacterium avium subspecies paratuberculosis.
Toelichting aandoening
Paratuberculose is een chronische ziekte waarbij geiten vermageren en soms ook diarree hebben. Jonge dieren zijn het meest gevoelig om geïnfecteerd te raken, maar de ziekte verschijnselen ontstaan vaak pas vanaf een leeftijd van 2-4 jaar. Geïnfecteerde dieren (ook subklinisch geïnfecteerde dieren zonder ziekteverschijnselen) kunnen de bacterie langdurig met tussenpozen uitscheiden in de mest. Door mest bezoedelde voeding, water, biest of melk vormt een besmettingsbron waardoor nieuwe dieren besmet kunnen worden.