- Home
- Diergezondheid
- Dierziekten
- Maagdarmaandoeningen
Maagdarmaandoeningen
Maagdarmklachten, zoals braken en diarree, komen veel voor bij honden en katten. De symptomen van een maagdarmaandoening zijn wisselend: sommige dieren hebben nauwelijks problemen, andere zijn erg ziek. Soms is aanvullend onderzoek noodzakelijk om achter de oorzaak van de klachten te komen en de patiënt gericht te kunnen behandelen. Hiertoe behoort ook het histopathologische onderzoek van endoscopisch verkregen maagdarmbiopten, waardoor een specifieke diagnose gesteld kan worden.
Dierziekte informatie Maagdarmaandoeningen
Casus Chico
Chico, een 12-jarige gecastreerde reu van gemengd ras, wordt eind december aangeboden in verband met acute braakklachten, waarbij ook bloed gebraakt wordt. Er wordt een röntgenfoto van het abdomen gemaakt om de maag in beeld te brengen en een vreemd voorwerp uit te sluiten. Daarna worden er een maagdarmdieet, een anti-emeticum en maagzuurremmers meegegeven voor een week. Chico knapt weer op, maar heeft een halve week na het beëindigen van de medicijnen en dieetvoeding weer tekenen van misselijkheid. Hij braakt tweemaal en wil niet eten. Deze klachten duren een dag, waarna Chico met anti-emetica en een hypo-allergeen dieet weer opknapt en twee en een halve week geen klachten heeft. Dan ontstaan opnieuw klachten, ondanks het dieet en de anti-emeticum. Chico is erg sloom, wil niet eten, vertoont duidelijk onrustig gedrag met rekken en slikken en vertoont tekenen van buikpijn. De volgende dag begint het braken weer, nu minstens acht keer op een dag. De dagen daarna knapt Chico weer op. De ontlasting blijft al deze tijd normaal van consistentie, maar is één keer pikzwart geweest.
Bij het aanbieden is Chico levendig, eet en drinkt hij weer normaal, heeft normale ontlasting en vertoont verder geen afwijkingen van het respiratie-, circulatie- en bewegingsapparaat. Er is geen dikke of pijnlijke buik. Er is sprake van een mild gewichtsverlies in deze periode. Hij krijgt nog steeds een anti-emeticum.
In eerste instantie wordt, gezien het aanvalsgewijs optreden van de braakklachten en buikpijn, gedacht aan galstenen, galblaasontsteking, pancreatitis, maagulcus of maagtumor, corpus alienum, ontsteking van het duodenum en ziekte van Addison.
Klinisch onderzoek
De slijmvliezen zijn roze met een normale crt en er zijn geen petechiën. De sclera is wit, de lymfeklieren zijn niet afwijkend. Er is sprake van een rustige pols en de hartauscultatie en longauscultatie zijn beide normaal. De buik is soepel en niet pijnlijk, er zijn geen afwijkende structuren te voelen. De temperatuur is 38.5 graden.
Bloedonderzoek
Geen bijzonderheden. De canine-specifieke lipase snaptest is niet afwijkend. Het albumine gehalte is normaal en het bloedbeeld is niet afwijkend.
Echografisch onderzoek
De maag toont zich niet afwijkend. Er is een normale wanddikte met een normale gelaagdheid te zien. Er is geen aanwijzing voor een maagtumor of een maagulcus. De darmen zien er niet afwijkend uit. De lever en de galblaas zijn niet afwijkend. De nieren en de milt zijn normaal. Er is geen aanwijzing voor een pancreatitis. Er zijn geen aanwijzingen voor vrije vloeistof of afwijkende lymfeklieren.
Endoscopisch onderzoek
De slokdarm vertoont geen bijzonderheden met een normale overgang naar de maag. De maag bevat iets vocht, geen aanwijzing voor een tumoreus proces, een ulcus of een corpus alienum. Het slijmvlies van de maag is wel wat verdikt en toont rode vlekjes. De pylorus is wat rood. Het duodenum is gemakkelijk te bereiken, het slijmvlies is minder mooi, wat afgeplatte vlokken en aanwijzing voor kleine puntbloedingen. Van de maag en het duodenum zijn meerdere biopten genomen voor histopathologisch onderzoek.
Maag met zicht op pylorus, maagslijmvlies lijkt wat verdikt en hyperaemisch

Maag met zicht op pylorus.

Beeld van duodenum met normaal aspect.
Histopathologisch onderzoek van endoscopische maagdarmbiopten
Maagbiopten
De mucosa van de fundus vertoont lokaal matige atrofie. Ook zijn lokaal veel spirochaeten zichtbaar (gezien aspect waarschijnlijk Helicobacter spp.), zowel oppervlakkig als dieper in de klierbuisjes. De klierbuisjes in de mucosa zijn gedilateerd, en een aantal van de hoofdcellen en de pariëtale cellen heeft een gevacuoliseerd aspect. Verder is er mild oedeem en geringe verwijding van lymfevaten in de mucosa, naast een milde toename aan lymfocyten en plasmacellen. In het antrum gedeelte is ook lokale atrofie van het oppervlakkige epitheel van de mucosa.

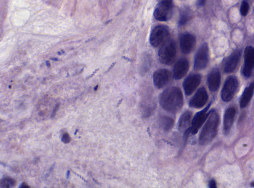
HE-kleuring van een coupe van de maag mucosa ter hoogte van de fundus (400 x). Aan de rechterzijde van de foto bevindt zich een gedeelte vande bedekkende epitheellaag, bedekt door slijm. In dit slijm bevinden zich karakteristieke helix-achtige bacteriën, die herkend worden als Helicobacter spp. De aanwezigheid van deze bacteriën worden frequent geassocieerd met maagdarmklachten (1). Bij de kat wordt een chronische infectie met Helicobacter heilmannii in verband gebracht met de ontwikkeling van een grootcellig B-cel lymfoom in de maag.
Duodenum biopten
In de epitheellaag is een geringe toename van de slijmbekercellen aanwezig, en in de lamina propria is een milde tot lokaal matige toename van lymfocyten en plasmacellen zichtbaar, naast een milde tot matige dilatatie van de lymfevaten. Deze infiltratie is ook te zien in het slijmvlies tussen de dieper in de lamina propria gelegen crypten, naast de aanwezigheid van enkele cryptabcessen. Er is geen toename van eosinofiele granulocyten.

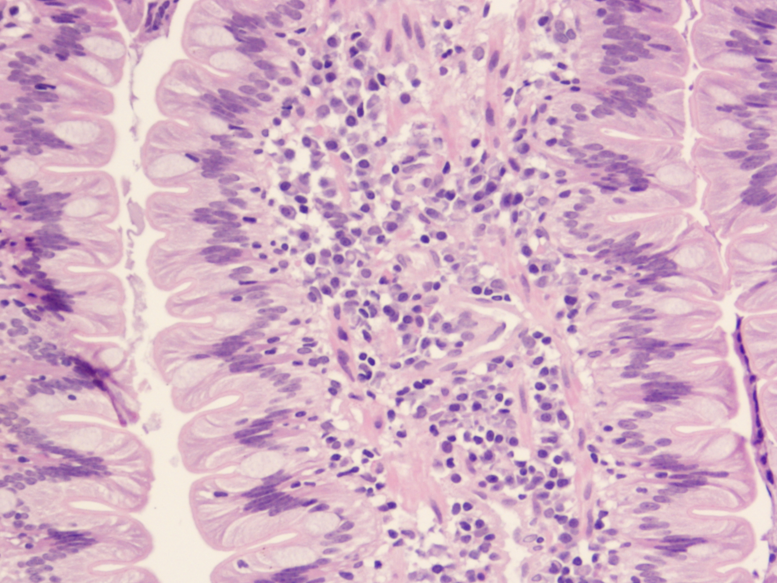
HE-gekleurde coupes van endoscopische duodenum biopten met een lymfo-plasmacellulaire ontsteking (100 x, respectievelijk 200 x). Als gevolg van deze ontsteking zijn zogenaamde cryptabcesjes aanwezig. Dit zijn gedilateerde darmcrypten, die gevuld/overvuld zijn met exsudaat en ontstekingscellen.

HE-gekleurde coupe van een darmvlok in het duodenum. De lamina propria bevat aanzienlijke aantallen gedifferentieerde lymfocyten en vooral plasmacellen, passend bij een lymfo-plasmacellulaire enteritis (200 x).
Conclusie
Het beeld past bij een milde lymfo-plasmacellulaire gastro-enteritis. Op basis van de anamnese, het klinische onderzoek, het bloedonderzoek, het echografische onderzoek, het endoscopische onderzoek en het histopathologische onderzoek is de diagnose een lymfo-plasmacellulaire gastro-enteritis. Hierbij worden in de maag grote hoeveelheden spirochaeten gevonden, duidend op een infectie met Helicobacter spp.
Omdat de diagnose lymfo-plasmacellulaire gastro-enteritis geen uitsluitsel geeft over de oorzaak, wordt bij Chico gestart met het oraal toedienen van panacur gedurende vijf dagen gevolgd door metrazol 2dd 10mg/kg, naast het continueren van het dieet. Dit gaat twee weken naar behoren, maar dan is er weer een terugval.
Omdat er ook een infectie met Helicobacter is vastgesteld en er aanwijzingen zijn voor diverse architectonische afwijkingen in de darmmucosa wordt de behandeling aangepast. Naast metrazol krijgt Chico nu ook clavubactin en omeprazol en prednison 1mg/kg 1dd. Na twee weken wordt de clavubactin en de anti-emetica gestopt. Chico krijgt nu nog een combinatie van metrazol, prednison en omeprazol. Daarnaast krijgt hij uitsluitend hypo-allergene voeding. Het blijft nu goed met hem gaan, en in de loop van de komende twee maanden wordt de medicatie langzaam afgebouwd om te zien of Chico met de hypo-allergene voeding stabiel blijft.
Met dank aan: drs. R. Jonker, Dierenarts Interne Geneeskunde
Literatuur
1. Neiger R, Simpson KW. Helicobacter infection in dogs and cats: Facts and Fiction. J Vet Intern Med 2000;14:125-133
Bioptname van de digestie tractus
Endoscopische evaluatie van de intestinale mucosa en histopathologische beoordeling van maag en darmbiopten blijft de gouden standaard bij maagdarmklachten. Het brengt namelijk processen in kaart die zich in het maagdarmkanaal afspelen. Het biedt onderscheid tussen het type ontsteking en de ernst hiervan, geeft aanwijzing voor de aanwezigheid van lymphangiectasie en toont neoplastische processen aan.
Gastroscopie wordt uitgevoerd wanneer er een verdenking is op de aanwezigheid van een corpus alienum in de maag bij acute braakklachten. Verder is het geïndiceerd bij chronische braakklachten die sinds twee à drie weken aanwezig zijn en bij braken van bloed. Bij chronische braakklachten, zeker als deze gepaard gaan met chronische diarree, is endoscopisch onderzoek van het duodenum en het jejunum geïndiceerd. Duodenumscopie wordt uitgevoerd bij chronische dunnedarmdiarree klachten. Voor chronische dikke darmdiarree wordt voor een colonscopie gekozen. Bij het optreden van een mengbeeld worden beide onderzoeken tegelijk uitgevoerd.
Een echografisch onderzoek, voorafgaand aan de endoscopie, geeft een goede indruk of de verwachte darmafwijkingen in het gebied liggen waar men met een endoscoop bij komt.
Ter voorbereiding van een maag en duodenumscopie dient het dier minstens twaalf uur niet gegeten te hebben omdat anders een te grote kans bestaat dat de maag nog gevuld is met voedsel. Voor een colonscopie is het belangrijk dat het dier de dag voor het geplande onderzoek goed gelaxeerd wordt en in die tijd geen eten krijgt. Dit laxeren kan middels gastro-intestinale lavage oplossingen.
Tijdens het endoscopische onderzoek worden in de maag, het duodenum en het jejunum (als dit bereikt kan worden) op verschillende plaatsen biopten genomen.
Met behulp van een rigide endoscoop kunnen doorgaans grotere biopten genomen worden van het colon descendens. Ook in het colon wordt echter steeds vaker een flexibele endoscoop gebruikt, omdat hiermee ook een beoordeling van het colon transversum en colon ascendes mogelijk is.
Flexibele endoscopie heeft een aantal grote voordelen
- Geeft zicht op mucosale veranderingen, die vanaf de serosazijde door de chirurg bij een laparotomie niet te zien zijn.
- Biedt de mogelijkheid tot het nemen van veel biopten per locatie .
- Soms is door middel van endoscopie al een diagnose te stellen zonder dat er bioptname nodig is.
- Geeft een minimaal risico op perforatie en septische peritonitis
- De procedure is sneller, minder invasief en goedkoper dan bij het verkrijgen van biopten per laparotomie.
Flexibele endoscopie heeft ook nadelen
- Door middel van een standaard duodenoscopie wordt niet het gehele darmkanaal bereikt. Daardoor is het mogelijk dat eventuele belangrijke laesies buiten het bereik van de flexibele endoscoop niet in beeld worden gebracht.
- Er is meer kans op het nemen van biopten van slechte kwaliteit ten opzichte van chirurgische ‘full thickness’-biopten (lees verderop in dit artikel meer hierover). Hierdoor kan niet altijd een juiste diagnose gesteld worden.
- De verkregen biopten bevatten alleen de mucosa, die geen informatie geven over processen die zich eventueel dieper in de darmwand bevinden.
Goed om te weten
- Bij dieren met acute diarree (minder dan drie weken) geeft endoscopie zelden uitsluitsel, tenzij er een sterke verdenking is op histocytaire ulceratieve colitis, histoplasmose of neoplasie.
- Endoscopie is niet geschikt voor de evaluatie van een respons op een ingezette therapie bij een darmontsteking. Endoscopisch onderzoek geeft geen onderscheid tussen de verschillende oorzaken. Van een bepaalde darmstoornis kan bijvoorbeeld voedselovergevoeligheid, antibioticaresponsieve darmontsteking en afwijkingen van de darmmotiliteit de oorzaak zijn.
Voorwaarden voor een betrouwbare diagnose
Voor een zo betrouwbaar mogelijke diagnose dient het nemen en verwerken van biopten via endoscopie aan een aantal voorwaarden te voldoen. Zorg voor een juiste manier van biopten nemen en neem per te onderzoeken segment minstens zes biopten. Het blijkt vaak dat in slechts de helft van de biopten relevante laesies gevonden worden. Belangrijk is om zowel mucosa als submucosa in het biopt te hebben. De meeste laesies zitten namelijk dieper in het weefsel. Met name maligne lymfoom kan relatief diep in de mucosa of submucosa zitten waardoor een te oppervlakkig genomen biopt tot een misdiagnose kan leiden. Biopten dienen ook lang genoeg te zijn om voldoende villi te bevatten.
De kwaliteit van de biopten is van grote invloed op de kwaliteit van de histopathologische beoordeling door de patholoog. Hier kunt u informatie vinden over de beoordeling en verwerking van de biopten door de patholoog.Tijdens het endoscopische onderzoek is een goede oriëntatie mogelijk, waardoor met grote precisie een laesie gebiopteerd kan worden. Biopteertangen met een langere bek die een gaatje bevat en een gekartelde rand, hebben de voorkeur boven de bekjes met een gladde rand. Biopteertangen met een naald zijn niet geschikt, omdat ze te veel beschadiging van het weefsel veroorzaken.
De beste manier om biopten te nemen in het duodenum is door middel van de “turn and suction” methode. De biopteur moet een paar millimeter uit de scoop komen zodat de bek geopend kan worden. Dan wordt de biopteur voorzichtig teruggetrokken zodat de geopende bek tegen de endoscoop aan ligt. De scoop wordt nu in de richting van het slijmvlies gedraaid zodat deze bijna of helemaal 90 graden op het slijmvlies staat. Nu wordt wat lucht uit het duodenum gezogen. Daarna wordt de geopende biopteur naar voren geduwd en stevig gesloten als er voldoende weerstand gevoeld wordt. Nu wordt de tip van de endoscoop gestrekt en de biopteur teruggetrokken.
Goede kwaliteit biopten zijn uiterst bleek/wit. Ze moeten lang zijn als ze uit het bekje van de biopteur worden gehaald. Ze dienen ook stevig te zijn.
In principe zouden maagbiopten gemakkelijker moeten zijn omdat je de 90 graden beter kunt bewerkstelligen. Het antrum en het pylorusgebied zijn vaak harder en taaier en daardoor lastiger te biopteren. Van de pylorus wordt om die reden in principe geen biopten genomen.
In sommige gevallen lukt het niet om door de pylorus te komen. In dit geval kan nog geprobeerd worden om eerst de biopteur door de pylorus te brengen en dan daarna voorzichtig de endoscoop hier achteraan te sturen. Als dit ook niet lukt kunnen door de pylorus heen blind biopten in het duodenum genomen worden. De biopteur wordt door de pylorus heen gebracht en doorgeduwd tot weerstand te voelen is. Dan wordt iets teruggetrokken, de bek geopend en weer geduwd tot er weerstand te voelen is. Daarna met een klein rukje terugtrekken. Na het terughalen van de biopteur wordt beoordeeld of het biopt voldoende groot en van kwaliteit is.
Na de bioptname
Na het biopteren is het belangrijk om zorgvuldig met de biopten om te gaan. Door milde beschadiging is de kwaliteit direct een stuk minder. De biopten dienen op een niet-resorbeerbaar materiaal (spons) te worden gelegd en netjes te worden uitgevouwen. Daarna worden de biopten in een cassette geplaatst en in 10 procent gebufferd formaline (of 4 procent formaldehyde-oplossing). Door de biopten los in een buisje te plaatsen is de kans op beschadiging (artefacten) groter en is het voor de patholoog lastiger om er een mooie inbedding van te maken. Als de biopten in een buisje geplaatst worden, dan dient dit voorzichtig te gebeuren en in een zo klein mogelijk potje, zodat geen artefacten door schudden ontstaan. Het is zeker bij fragiele duodenum biopten van groot belang om het potje volledig met formalineoplossing af te vullen, zodat geen lucht in het potje aanwezig is na sluiting van de deksel. Lucht, zelfs een kleine luchtbel, veroorzaakt klotsen van de vloeistof tijdens het transport naar het laboratorium, waardoor de met veel zorg verkregen biopten ernstig beschadigd kunnen raken.
Het is belangrijk om een realistisch beeld te hebben van de informatie die histopathologisch onderzoek op kan leveren. Zelfs excellente biopten kunnen minder informatie opleveren dan waarop gehoopt werd. Dit komt bijvoorbeeld omdat de clinicus niet voldoende informatie over de ziektegeschiedenis heeft gegeven, of de patholoog niet op de hoogte heeft gesteld van de resultaten van het voorbereidende onderzoek en de bevindingen tijdens de endoscopie. Het kan ook voorkomen dat de clinicus misschien geen vraagstelling aan de patholoog heeft voorgelegd of hij heeft ongegronde verwachtingen van de informatie die de biopten kunnen geven. Kortom, informatie van de clinicus kan de patholoog helpen bij de interpretatie van de bevindingen tijdens het pathologische onderzoek.
Samenvattend: Geef aan wat u wilt weten, geef informatie over de bevindingen tijdens het endoscopische onderzoek en geef aan of er, voorafgaand aan het biopteren een behandeling met prednison heeft plaats gevonden.
Andere methoden voor het verkrijgen van biopten van de digestietractus zijn het nemen van dunne naald (aspiratie) biopten en de zogenaamde ‘full-thickness’biopten.
Dunne naald (aspiratie) biopten
Bij de aanwezigheid van vergrote lymfeknopen, abdominale massa’s of geïnfiltreerde gastro-intestinale aandoeningen kan cytologisch onderzoek gedaan worden van een dunne naald (aspiratie) biopt. De bioptname wordt percutaan onder echobegeleiding genomen. Om voldoende aspiraat te verzamelen is minimaal twee tot vier keer een bioptname nodig van het te onderzoeken weefsel. Voor de meeste dunne naald biopten wordt gebruik gemaakt van een 22-23G naald. Hiermee wordt voldoende aspiraat verkregen en er is weinig risico op perforatie en bloedingen. Voor erg goed doorbloede en fragiele weefsels wordt een 25G naald aangeraden.
Een weinig visceus aspiraat wordt net zoals een bloedmonster uitgestreken. Visceuze aspiraten worden aangebracht op het voorwerpglas waarna met een ander voorwerpglas dit aspiraat uitgestreken wordt door de twee glaasjes plat op elkaar te leggen en dan het materiaal uit te strijken. Het vervaardigen van goede uitstrijkjes is een delicaat proces en wij verwijzen u hiervoor ook graag naar onze video demonstratie.
Het grote voordeel van dunne naaldbiopten is de snelheid, het feit dat dit zonder narcose kan plaatsvinden en dat het weinig invasief is. Het nadeel is dat het aspiraat niet altijd representatief is en dat de cytologische diagnose, zeker bij niet-neoplastische processen, een beperkte sensitiviteit en specificiteit heeft.
Full thickness biopten
Wanneer endoscopie niet voorhanden is of in gevallen waarbij uit endoscopische biopten geen duidelijke diagnose naar voren komt, kan chirurgisch een full thickness biopt genomen worden. Ook als er bij het echografische onderzoek van de buik naar voren komt dat de te verwachte darmafwijkingen buiten het bereik van de endoscoop liggen (jejunum en ileum) kan full-thickness biopsie uitkomst bieden. Het voordeel van deze methode is dat de biopten groter zijn en ook de diepere lagen omvatten, wat bij bepaalde aandoeningen van wezenlijk belang is om tot een juiste diagnose te kunnen komen. Sommige vormen van neoplasie kunnen beter onderscheiden worden van een ontstekingsinfiltraat door hun transmurale spreiding. Lymfangiectasie wordt beter aangetoond omdat de verwijde lymfevaten zich meer in de submucosa en tunica muscularis bevinden dan in de mucosa. Ook is het mogelijk om het jejunum en ileum te biopteren en kunnen direct andere organen zoals de mesenteriale lymfeknopen gebiopteerd worden. Na het nemen van full thickness biopten moeten de ontstane defecten in de darmwand goed gehecht te worden om lekkage van darminhoud en bloeding te voorkomen. Overigens is afwijkend darmweefsel vaak lastiger te hechten of geneest minder goed, waardoor meer kans op complicaties is in vergelijking met endoscopisch genomen biopten.
Deze methode levert, in vergelijking met endoscopische biopten, relatief weinig biopten op wat een nadeel kan zijn voor de diagnostiek.
Met dank aan: Drs. R. Jonker Dierenarts Interne Geneeskunde
Pathologische achtergrond van maagdarmaandoeningen
De gepresenteerde casus demonstreert de noodzaak van verschillende soorten aanvullend onderzoek bij de evaluatie van het dier met maagdarmklachten. Hiertoe behoort ook het histopathologische onderzoek van endoscopisch verkregen maagdarmbiopten, waardoor een specifieke diagnose gesteld kan worden. Het lijkt dan ook zinvol om even stil te staan bij een aantal aspecten van maagdarmbiopten.
Typen maagdarmbiopten
- De meest gangbare biopten zijn de zogenaamde endoscopische biopten. Deze worden tijdens het endoscopische onderzoek afgenomen. Het zijn kleine, relatief oppervlakkige biopten. Bij microscopisch onderzoek hiervan is het weefsel meestal afkomstig van de mucosa (de bedekkende lamina epithelialis en de daaronder liggende lamina propria). Weefsel van de submucosa en het gladde spierweefsel van de maagwand/darmwand is bij deze biopten vrijwel nooit aanwezig. Endoscopische biopten leveren dan ook bijna nooit een diagnose op voor dieper gelegen processen in de darmwand.
- Vanuit pathologisch oogpunt verschaffen de zogenaamde ‘full thickness’-biopten de meeste informatie. Deze biopten worden genomen tijdens een laparotomie, waarbij stukjes uit de maag en darmwand worden gesneden. Ze worden ook wel transmurale biopten genoemd, omdat alle lagen van de maag of darmwand aanwezig zijn. Hierdoor is een complete microscopische beoordeling van de maag of darmwand mogelijk.
- Dunne naald aspiratie biopten: soms worden uitstrijkjes ingestuurd van percutaan verkregen dunne naald aspiratie biopten. Over het algemeen verloopt het cytologische onderzoek hiervan teleurstellend vanwege diverse problemen. Op de eerste plaats kan het problematisch zijn om de gewenste locatie aan te prikken. Door deze DNABs onder echobegeleiding te nemen, is het mogelijk om bij een gelokaliseerd, ruimte-innemend proces in de maag- of darmwand een representatieve celopbrengst te verkrijgen. Op basis daarvan kan een cytologische diagnose gesteld worden. Bij het pathologische onderzoek van ontstekingsprocessen in de darmwand is cytologisch onderzoek echter van beperkte diagnostische waarde, omdat de lokalisatie van het ontstekingsproces in de darmwand juist vaak diagnostische betekenis heeft. Bij een lymfo-plasmacellulaire gastro-enteritis bevinden de ontstekingscellen zich in de lamina propria. Deze informatie gaat verloren bij cytologisch onderzoek, maar niet bij histopathologisch onderzoek.
Locaties voor het nemen van endoscopische biopten
Het advies is om standaard van een aantal locaties biopten te nemen. Het is niet verstandig om bij maagdarmklachten alleen maagbiopten of alleen darmbiopten in te sturen. Voor het histopathologische onderzoek geldt een standaardtarief, dat onafhankelijk is van het aantal genomen biopten.
Maagbiopten worden genomen van vier verschillende compartimenten in de maag (de fundus, het corpus, de angulus en het antrum) en direct in een 10 procent gebufferde formaline oplossing geplaatst. Het is van belang om de biopten per locatie in een apart potje met formaline te doen en de locatie op het potje te vermelden. De maag van monogastrische dieren bevat nog een vijfde compartiment, het pylorusgebied en het zou logisch zijn om ook hiervan samples te nemen. Dit wordt echter niet meer geadviseerd, omdat endoscopische biopten uit het pylorusgebied vrijwel altijd van slechte kwaliteit zijn. Dat hangt waarschijnlijk samen met de erg stevige consistentie van het weefsel ter plaatse. Hierdoor ontstaan vaak ernstige knijp- of zuigartefacten, waardoor histopathologisch onderzoek van dergelijke biopten bijna nooit mogelijk is.
Endoscopische dunne darmbiopten worden op vijf locaties genomen: het meest proximale gedeelte van het duodenum, het midden van het duodenum descendens, het duodenum transversum, het distale duodenum en tenslotte van een locatie ongeveer 20 cm in het jejunum. De lokalisaties van de maagdarmbiopten zijn in onderstaande schetsen weergegeven.

De anatomische compartimenten van de maag van monogastrische dieren:
1. Fundus; 2. Corpus; 3. Angulus; 4. Antrum; 5. Pylorus.
Voor een compleet histopathologisch onderzoek van de maag wordt geadviseerd om endoscopische biopten te nemen van compartimenten 1 t/m 4.
Endoscopische biopten van de pylorus zijn bijna altijd van slechte kwaliteit, vanwege knijp- of zuig artefacten, die waarschijnlijk veroorzaaktworden door de stevige consistentie van het weefsel ter plaatse. Biopteren van dit gebied wordt dan ook afgeraden.

Voor een compleet histopathologisch onderzoek van de dunne darmen is het advies om endoscopische biopten te nemen van:
1. Proximale duodenum; 2. Midden van het duodenum descendens; 3. Duodenum transversum; 4. Distale duodenum; 5. Locatie op ongeveer 20 cm in het jejunum.
Verwerking van de gefixeerde maagdarmbiopten door het histotechnische laboratorium
Tijdens het fixatieproces contraheren de biopten, waardoor de vorm van de met veel zorg verkregen biopten verandert. Na fixatie zijn de endoscopische biopten veranderd in kleine ronde bolletjes, terwijl chirurgische, ‘full thickness’-biopten een cilindrische vorm hebben gekregen. Met behulp van een overzichtmicroscoop worden de maagbiopten en ‘full thickness’-biopten zodanig aangesneden dat microscopisch onderzoek kan plaatsvinden op een zo groot mogelijk oppervlak, waarin alle weefselcompartimenten aanwezig zijn. Voor endoscopische biopten betekent dit dat de aansnijding zowel de bedekkende epitheellaag als de lamina propria bevat. Bij chirurgische, ‘full thickness’-biopten worden hierdoor aansnijdingen verkregen waarin alle lagen van de darmwand aanwezig zijn. Dit aansnijden van de biopten met behulp van een overzicht microscoop wordt niet uitgevoerd bij endoscopische dunne darmbiopten, omdat de biopten dan uit elkaar vallen vanwege het vlokpatroon van de dunnedarmmucosa.

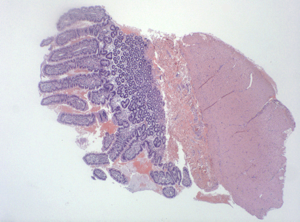
Na de fixatie zijn de endoscopische maagbiopten van vorm veranderd. De biopten zijn gecontraheerd en hebben zich opgerold (boven). Om een zo groot mogelijk oppervlak van de twee compartimenten van de mucosa, de lamina epithelialis en de lamina propria, microscopisch te kunnen beoordelen worden de biopten met behulp van een overzicht microscoop uitgesneden, waarna het weefsel verder verwerkt wordt tot paraffine blokjes. Hiervan worden coupes gesneden en gekleurd voor microscopisch onderzoek (linksonder, rechtsonder).

HE- gekleurde coupe van een gefixeerd en uitgesneden chirurgisch, "full thickness" biopt van het duodenum. Aan de linkerzijde van de foto is de mucosa aanwezig, aan de rechterzijde de gladde spierlagen en daartussen de submucosa. Deze biopten maken een volledige microscopische beoordeling van alle lagen van de darmwand mogelijk.
De microscopische beoordeling van maagdarmbiopten
Maagdarmbiopten worden tijdens het histopathologische onderzoek op een standaardwijze beoordeeld. Wij houden ons aan het consensusdocument zoals dat door het ACVIM is vastgesteld en is gepubliceerd (1).
Resultaten van pathologische onderzoek van maagdarmbiopten hond en kat
Een analyse van de resultaten van het histopathologische onderzoek van de ingestuurde maagdarmbiopten van de hond en de kat, groepsgewijs ingedeeld als ‘ontsteking’, ‘neoplasie’ en ‘overige aandoeningen’, toont aan dat het merendeel van de maagdarmlaesies bij de hond ontstekingsprocessen zijn (63%). In 21% van de gevallen blijkt er sprake te zijn van een neoplasie in het maagdarmkanaal, de resterende 16% van de aandoeningen valt in een heterogene groep van diverse overige afwijkingen in het maagdarmkanaal. Ontstekingsprocessen in het maagdarmkanaal van de hond blijken vaak lymfo-plasmacellulaire ontstekingen te zijn. Het kan overigens erg moeilijk zijn om lymfoïde ontstekingen in het maagdarmkanaal te onderscheiden van een gastro-intestinaal lymfoom door middel van microscopisch onderzoek. Soms is dit onderscheid ook met aanvullend immuunhistochemisch onderzoek niet te maken. In zulke gevallen biedt de recent geïntroduceerde PARR techniek uitkomst.
Bij de kat is deze verdeling duidelijk anders; bij deze diersoort blijken ontstekingsprocessen de oorzaak van ongeveer eenderde van de laesies, nog eens eenderde blijkt neoplastisch te zijn en het resterende deel is een heterogene groep met diverse overige afwijkingen.
Literatuur
Washabau RJ, Day MJ, Willard MD, Hall EJ, Jergens AE, Mansell J, Minami T, Bilzer TW. Endoscopic, biopsy and histopathologic guidelines for the evaluation of gastrointestinal inflammation in companion animals. J Vet Intern Med 2010;24:10-26.